審美治療とは
金属を無くし白くしたい
「前歯の色が変わってきた」「銀歯が気になっていた」と思われていませんか?
審美治療は気になる歯を白く美しくして大きく口を開けて、笑顔で過ごす事が出来るように、心からの健康を作る、言わば「さらに美しくするために治す」治療です。
気になっているコンプレックスを改善することで、その後の生活の質(QOL)は大きく変わります。
ラフィネの審美歯科治療がご提供するのは見た目の美しさだけではありません。
虫歯や歯周病などの通常の歯科治療に美しさを加えたものが「審美歯科」ですが、いくら美しくしたとしても、お口の中で機能しないと意味がありません。かみ合わせ、顎の運動は一人一人違いますので、個々に合わせた「かみ合わせ」、「形態」も重要になってきます。
審美歯科の治療には、日本補綴歯科学会(補綴(ほてつ)とはかぶせものや入れ歯などの専門学会です)の専門医、日本顎咬合学会(咬み合わせを中心にした学会)の専門医を持った院長が担当いたします。
当クリニックでは日々更新する各分野での最新技術を国内外から取り入れ、治療に当たらせて頂いております。
審美治療の種類
金属を無くし、白くする方法はいくつかあります。それぞれ長所と短所があります。
- ダイレクトボンディング法
- セレックによるセラミック治療
- 技工士が作るハイブリッド or セラミック治療
ダイレクトボンディング法
ほとんどの場合、健康な歯の部分は削らず、レジン(樹脂素材)を直接詰めていく方法です。1日で終わります。硬すぎないため、周囲の歯を傷めにくく、もし割れたりした場合でも、修理が比較的簡単です。他のハイブリッドセラミックスやセラミック治療などと比べると安価です。
〈欠点〉
咬み合わせが強い場合には割れたりすることがある。
将来変色(黄色や茶色)になっていく可能性が高い。
大きな金属には適応出来ない事がある。
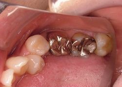
■ 症例1
20代女性。笑った時に金属が見えるのが長年気になっていたそうです。まずは古い被せ物を外し、歯周治療後、ダイレクトボンディング法による白いつめものをしました。


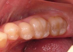
■ 症例2
30代女性。下の歯を白くしたいというご希望でした。金属を外し、白い詰め物をしました。


セレックによるセラミック治療
セレックはドイツからやってきた、コンピュータ制御によって歯の修復物を設計・製作するCAD/CAMシステムです。コンピュータを使って修復物を作製すします。(※治療時間、状態によって形どりをすることがあります)
材質は、最高品質のセラミックを使用しておりますので、アレルギーの心配や変色等の心配がありません。
セレック治療の手順
セレックによるセラミック治療費(桶川院のみの施術料金になります)
- セレックインレー・アンレー(部分的なかぶせもの)¥30,000 ~(税別)
- クラウン(前歯や奥歯の全部のかぶせもの)¥50,000 ~(税別)
■ 症例1
20代女性。セレックによる治療により白い歯に変わりました。


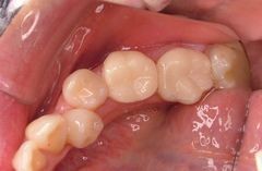
■ 症例2
30代女性。前歯のかぶせものの色が変わってきたことが気になっていました。セレックにより、より自然な白いセラミックの歯に変わりました。


技工士が作るハイブリッド or セラミック治療
咬み合わせの治療や全体の見た目を治して行く場合には、従来の形どりを行い、技工士さんが作るかぶせものが必要となります。また、前歯の形態を細部まで再現する際にも必要となります。
■ 症例1
50代女性。都内某歯科医院に長年通院されていましたが、肩こりや顎の痛みが改善しないためご相談頂きました。かみ合わせを頭と顎の骨のバランス、顎の動きなどから決定し、治療させて頂きました。治療後、顎の痛みなどは改善していきました。


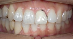
■ 症例2
20歳の女性。前歯が以前より気にされていました。お仕事上、出来る限り自然に、自分の歯のようにしたいとのご希望でしたので、技工士さんが作るセラミックによりかぶせものをしました。


技工士製作のハイブリッド冠or セラミック冠治療費
- メタルボンド冠(金属フレーム+セラミック) ¥80,000 ~
- オールセラミック (ジルコニアフレーム) ¥120,000 ~
※場所、本数、状態、こだわり等により異なります。お気軽にお問い合わせください
















